Cornerstone Dental Missoula
A Great Dentist

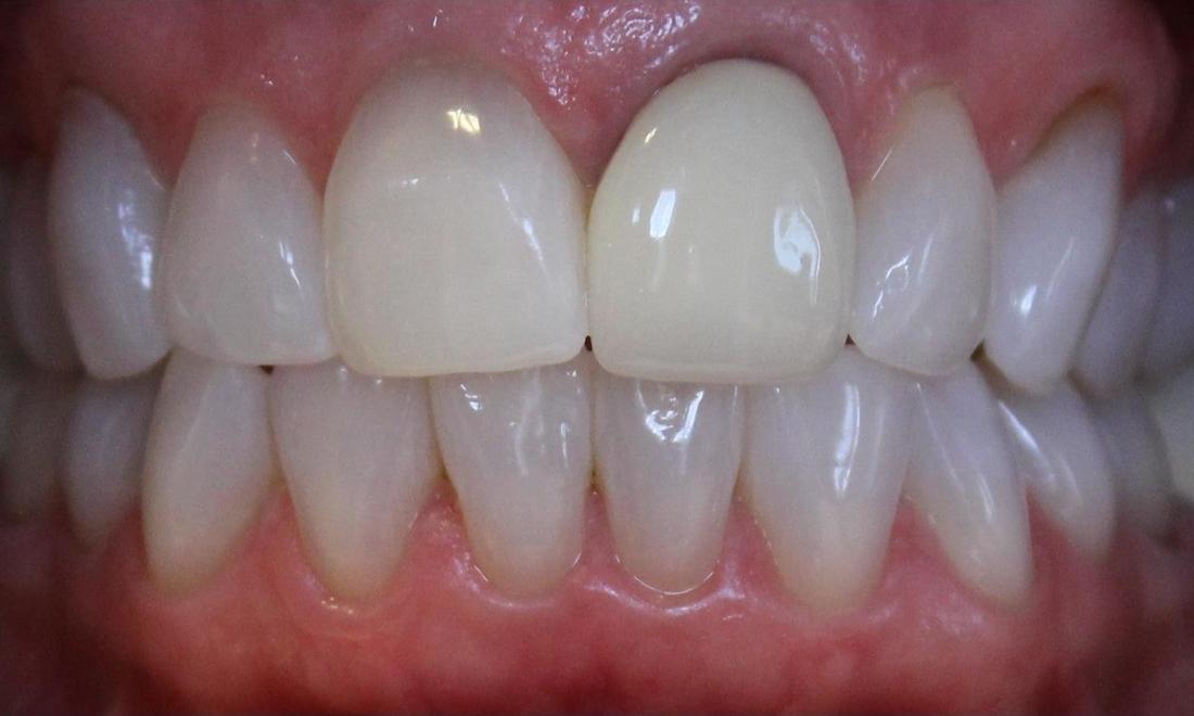
Crown in one day

This is a case where the patient was unhappy with her front crown that was done 20+ years ago due to an accident that fractured her natural tooth. She was unhappy with the discoloration at the gumline and thought it was too long and too bulky compared to the other front tooth. Lastly, she did not feel it was matching her natural teeth anymore. We were able to make her a fabulous new crown in one day with our CEREC utilizing a material called lithium disilicate, or Emax, with some custom colorization.

Related Services:

CEREC Same-Visit Crowns
Still need an appointment?
If you have difficulty using our website, please email us or call us at (406) 543-7532